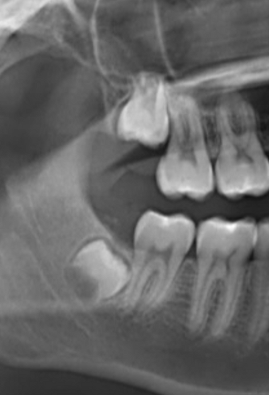
Wisdom teeth extraction
Third molars or wisdom teeth usually erupt in the late teens or early 20s. Depending on the size of the patient’s mouth and the position of the mouth, these teeth can cause discomfort to the patient such as pain, inflammation, and infection. If treatment is not given in a timely manner, then bone loss, periodontal problems and the loss of adjacent teeth may occur.In many cases the third molars partially from the socket or in sideways causing food impaction, irritation of the gingival tissues. Because of their position, it is hard to keep them clean and the tooth may start developing carious lesions or it can be the cause for carious lesions on neighboring teeth. In some cases, the teeth may not case any harm and if the patient is able to keep the clean with proper hygiene and regular cleanings then the teeth can be left untouched. If you fell that your wisdom teeth may need to be removed contact us to evaluate if removal of wisdom teeth is right for you.
FAQs
Do I need to remove all my wisdom teeth?
Every patient is different, it is important an evaluation to determine if all the wisdom teeth need to be removed and how this will impact future dental issues mentioned before.
How long does the treatment take?
The procedure depends on how many extractions will be performed. Usually, it takes 1 hour to hour and a half.
How long does it take for the sites to heal?
Every patient is unique, the initial healing after the wisdom teeth extraction usually takes 2 weeks. However, complete closure of the sockets may occur after 8-12 weeks.
What could be the possible complications of the procedure?
Two main potential complications that may occur after following wisdom teeth extractions.Dry socket is one of them and it occurs when the blood clot fails to be form in the socket or when it is formed but is lost. The prognosis of this complication is good with treatment that usually involves the placement of medication in the socket.Paresthesia is a second complication that can occur. It is not common and occurs when the nerves in the jaw bone can be damaged during the extraction procedure. This in turned can cause numbness or paresthesia that include but may not be limited to gum tissue, tongue, lip of the affected area, floor of the mouth, or chin. This can last for days, weeks or permanent.
Will I miss work or school?
After extraction of wisdom teeth, patients may miss one or two days of work or school. Painkillers will be prescribed to manage discomfort. Patients are also instructed to use ice in the face for a period of 24 hours after the procedure to prevent inflammation or swelling.
Tell your story
Add your own custom content to give more information about your store, availability details...
